Clínica
Dr. Marcko Orozco, Neumología
Medicina Interna
4128.7818 4787.5404
5961.6786
Existen muchas enfermedades y sus complicaciones pero en esta pagina nuestra clínica te brinda un poco mas de información selecciona cada una de las que necesites información
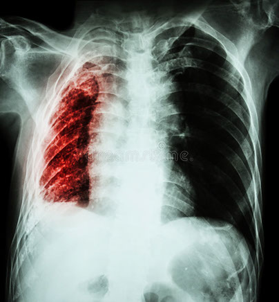
• Tuberculosis Pulmonar
La tuberculosis pulmonar es una enfermedad infecciosa causada por una bacteria llamada Mycobacterium tuberculosis que se puede adquirir por la inhalación de gotitas de agua provenientes de la tos o el estornudo de una persona infectada (el llamado bacilo de Koch).
Entre sus síntomas más frecuentes en un estado avanzado de la enfermedad se encuentran la fiebre, la sudoración, la pérdida de peso, el cansancio general, la tos, el dolor torácico, y el sangrado en esputo.
Para el diagnóstico es necesario realizar un aislamiento de estos bacilos, en cultivo de muestras de esputo o a través de diversas pruebas o biopsias (broncoescopia, biopsia pleural o biopsia glangionar).
Si no se realiza un tratamiento, la tuberculosis provoca la muerte. El tratamiento habitual se basa en la combinación de, como mínimo, cuatro fármacos (Isonizida, Rifampina, Pirazinamida y Etambutol) o en ocasiones otros, administrados varias veces al día durante un período de tiempo prolongado (seis meses, por lo general).
Dado que es una enfermedad contagiosa, se deben seguir los consejos médicos en lo que respecta al control de la medicación y al aislamiento inicial para evitar una posible extensión de la enfermedad al resto de la población.

Centro Hospitalario La Paz Occidente
4ta. calle 23-61 zona 3, Quetzaltenango
Clínica 403, 4to nivel.
Todos los derechos reservados 2,018
protegido por los derechos de la propiedad intelectual